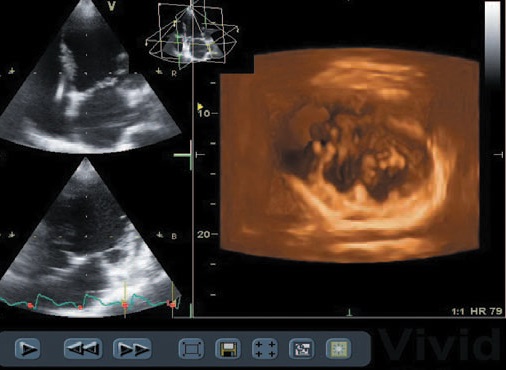
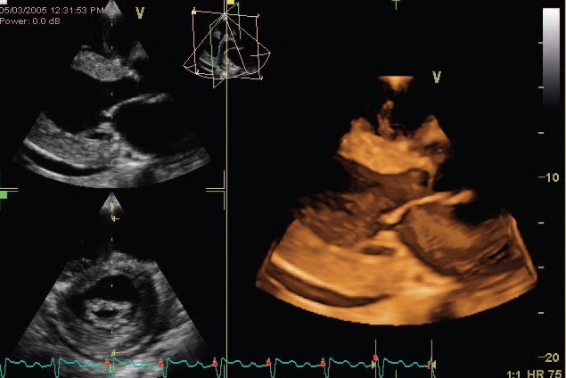
การตรวจหัวใจด้วยคลื่นเสียงสะท้อนระบบ 3 มิติ

 

 

การตรวจหัวใจด้วยคลื่นเสียงสะท้อนระบบ 3 มิติ (3-D Echocardiography) เป็นวิธีการตรวจหัวใจโดยใช้คลื่นเสียงสะท้อนในระบบ 3 มิติ เพื่อการวินิจฉัยโรค รูปที่ได้จะมีความชัดและความลึกแบบ 3 มิติชัดเจนกว่าการตรวจด้วยเครื่องระบบ 2 มิติแบบเก่า

3-D Echo สามารถให้ข้อมูลที่แม่นยำและปลอดภัยเกี่ยวกับโรคหัวใจ เช่น

  • โครงสร้างและความสามารถในการบีบตัวของหัวใจ
  • การทำงานของลิ้นหัวใจที่ผิดปกติทั้งแบบลิ้นหัวใจรั่วและตีบ
  • โรคของเยื่อหุ้มหัวใจ
  • โครงสร้างหัวใจที่ผิดปกติแต่กำเนิด

 

การปฎิบัติตัวก่อนการตรวจ

  • ไม่ต้องงดน้ำหรืออาหารก่อนการตรวจ
  • ผู้รับบริการตรวจควรสวมเสื้อผ้าที่สามารถถอดเปิดบริเวณหน้าอกได้ เพื่อสะดวกในการตรวจ

 

ขั้นตอนการตรวจ

การตรวจจะทำจากทรวงอกด้านหน้า และใช้เวลาประมาณ 20 นาที

  • เจ้าหน้าที่จะให้ผู้ตรวจนอนบนเตียงราบ ตะแคงไปทางด้านซ้ายเล็กน้อย มือซ้ายพาดขึ้นบน
  • เจ้าหน้าที่จะติดแผ่นคลื่นไฟฟ้าหัวใจ 3 จุด ขณะตรวจ

ความปลอดภัยจากการตรวจ

       การตรวจไม่มีอันตรายต่อผู้รับการตรวจ ผู้รับการตรวจอาจรู้สึกถึงการกดของเครื่องมือ บนหน้าอกเล็กน้อยเวลาที่ทำการตรวจ